کامپوزیت
ترمیم سریع و همرنگ برای اصلاح لبخند و شکل دندان
بلیچینگ دندان
سفیدسازی حرفهای مینای دندان برای درخشش طبیعی لبخند
اینله و آنله دندان
ترمیم دقیق پوسیدگیهای گسترده با حفظ ساختار سالم دندان
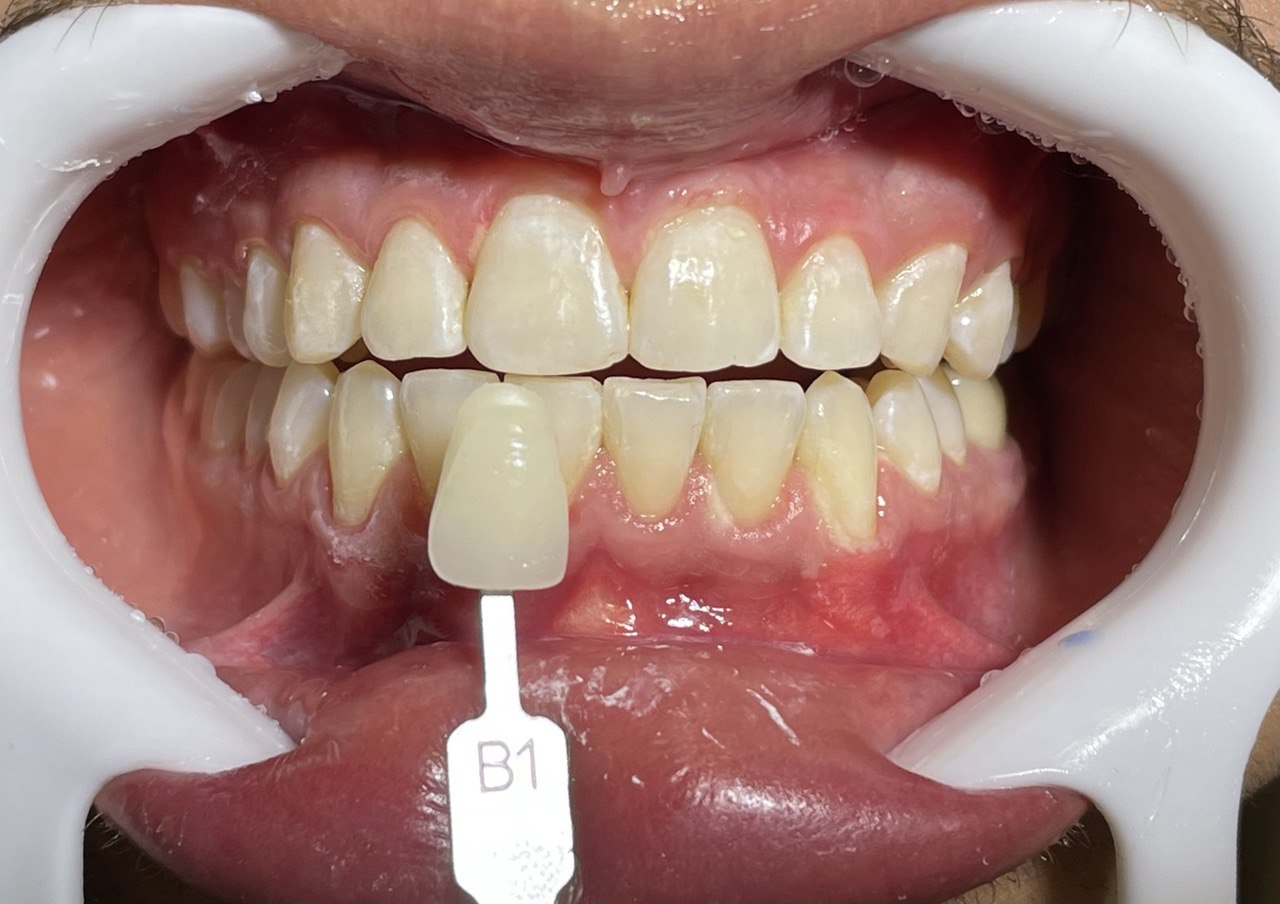
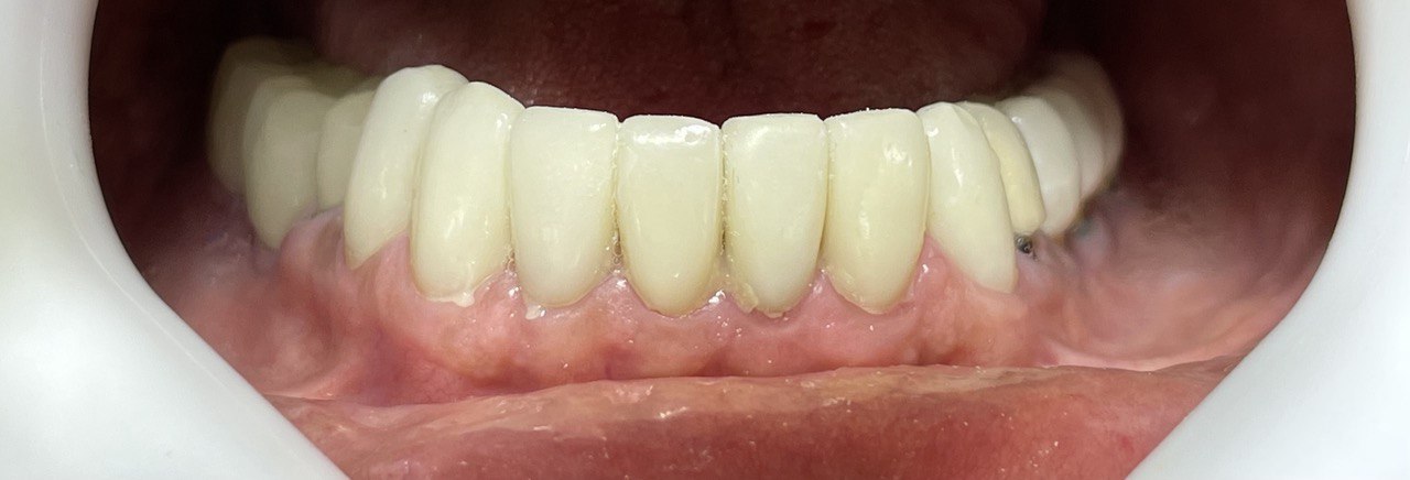
لمینت ونیز
بازسازی سطح دندان با لایه سرامیکی نازک و بادوام
باندینگ دندان
ترمیم لبپری و تغییر رنگ با رزین همرنگ و دقیق
بریج دندان
جایگزینی ریشه از دسترفته با فیکسچر تیتانیومی پایدار
درمان پوسیدگی
حذف بافت آلوده، ترمیم حفره و بازگردانی عملکرد دندان
ارتودنسی
اصلاح نظم دندانها، بهبود بایت و زیبایی لبخند متقارن

لبخدی فوق العاده ، حس خوب زندگی
لمینت دندانی با طراحی طبیعی و رنگی هماهنگ با چهره، به زیباتر شدن لبخند کمک میکنه. این روش باعث میشه ظاهر دندانها مرتبتر دیده بشه و حس اعتماد بیشتری موقع صحبت و خندیدن داشته باشی. انتخاب لمینت، راهی ساده برای داشتن لبخندی دلنشین و احساس بهتر در زندگی روزمره است.»
رزرو نوبت مشاوره
عمل زیبایی
ترمیم دندان
ایمپلنت
لمینت دندان
دکتر شیوا رفیع زاده
متخصص ترمیمی و زیبایی
(DDS,MSC)
دارای برد تخصصی از دانشگاه تهران با 12 سال سابقه در زمینه زیبایی دندان
سفید کردن دندان
ایمپلنت
درمان ریشه
با پزشکان دنتیران آشنا شوید!

لبخدی فوق العاده هدیه کلینیک دنتیران به شما!
مقالات اخیر

مزایای بلیچینگ دندان سه

اینله دندان چیست؟ دو

تروما دندان چگونه به وجود میآید دو

مزایای بلیچینگ دندان دو

لاک سفید کننده دندان دو


